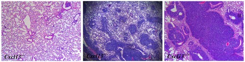
他们研究了炎症因子表达量与空气污染及吸烟的关系,发现CXCL13在90%的空气污染区肺癌病人中表达量明显增高;在对照地区,吸烟病人CXCL13 的高表达率为62%,而非吸烟病人的高表达率只有45%,说明空气污染与吸烟可促使炎症因子CXCL13的分泌。CXCL13 的表达和病人预后呈负相关,表达越高病人预后越差。他们发现,多环芳烃化合物苯并芘可以促使肺上皮细胞分泌CXCL13。用苯并芘处理小鼠以模拟人体吸入多环芳烃,发现苯并芘可使小鼠发生肺癌;但是,在利用基因打靶技术使CXCL13 或其受体CXCR5丧失功能的小鼠(基因敲除小鼠),苯并芘的致肺癌作用显著受到抑制(见图),说明CXCL13在多环芳烃引起肺癌的过程中发挥关键作用。CXCL13 可招募肿瘤相关巨噬细胞,使后者释放炎症因子SPP1、活化Wnt/β-catenin 信号通路,激活上皮-间质转化,促进肿瘤细胞的迁移、转移。这些研究结果,说明吸烟、空气污染对人体健康危害的严重性及控制烟草、减轻空气污染的迫切性,同时为环境污染相关肺癌的预防与治疗提供了新的靶点,具有重要的理论与实际意义。这一研究成果日前发表于著名的eLife杂志上(论文链接)。

