2025年10月13日 星期一

周光飚研究组发现炎症因子CXCL13在环境污染引起肺癌中的关键作用

          世界卫生组织的数据显示,在每年180万新发肺癌病例及159万肺癌死亡病例中,90%为吸烟及空气污染所引起。多环芳烃是吸烟及空气细颗粒污染物中重要的致癌物,也是重要的食品污染物,可持续存在于空气、水、泥土及食物中,对人们的健康构成威胁。但是,吸烟及空气污染引起肺癌的机理仍不清楚,也缺乏有效的预防、治疗策略。   

  周光飚研究组系统研究了环境污染引起肺癌的机理。他们以空气污染区及空气污染不明显地区肺癌病人的样本为研究对象,剖析污染物对人体基因组、非编码核糖核酸等的影响。近来,他们利用基因芯片全面检测了空气污染区肺癌病人发生的炎症因子异常,发现趋化因子CXCL13在癌组织的表达量明显增高,达到癌旁正常肺组织的63 倍。

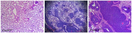
他们研究了炎症因子表达量与空气污染及吸烟的关系,发现CXCL13在90%的空气污染区肺癌病人中表达量明显增高;在对照地区,吸烟病人CXCL13 的高表达率为62%,而非吸烟病人的高表达率只有45%,说明空气污染与吸烟可促使炎症因子CXCL13的分泌。CXCL13 的表达和病人预后呈负相关,表达越高病人预后越差。他们发现,多环芳烃化合物苯并芘可以促使肺上皮细胞分泌CXCL13。用苯并芘处理小鼠以模拟人体吸入多环芳烃,发现苯并芘可使小鼠发生肺癌;但是,在利用基因打靶技术使CXCL13 或其受体CXCR5丧失功能的小鼠(基因敲除小鼠),苯并芘的致肺癌作用显著受到抑制(见图),说明CXCL13在多环芳烃引起肺癌的过程中发挥关键作用。CXCL13 可招募肿瘤相关巨噬细胞,使后者释放炎症因子SPP1、活化Wnt/β-catenin 信号通路,激活上皮-间质转化,促进肿瘤细胞的迁移、转移。这些研究结果,说明吸烟、空气污染对人体健康危害的严重性及控制烟草、减轻空气污染的迫切性,同时为环境污染相关肺癌的预防与治疗提供了新的靶点,具有重要的理论与实际意义。这一研究成果日前发表于著名的eLife杂志上(论文链接)。